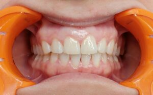
W grudniu 2025 wprowadziliśmy usługę higienizacji PRO3 wg BIOHIGDENT Wioletta Witek. Procedura ta polega na czyszczeniu zębów z osadu i kamienia za pomocą piaskarki i ultradźwięków, a także na aplikacji oliwy ozonowanej i hydroksyapatytu wapnia. Oliwa ozonowana wspaniale dotlenia i regeneruje dziąsła, pozostawia uczucie gładkości. Zabieg jest biozgodny ze środowiskiem jamy ustnej, nie jest agresywny, moduluje własne mikroorganizmy do odporności i działania w zachowaniu równowagi organizmu. Dla pacjentów po takim zabiegu wymierną korzyścią oprócz zdrowia jest wyraźne rozjaśnienie zębów. Na górnym zdjęciu pacjentka miała zwykłą higienizację a na dolnym jest po higienizacji PRO3. 

zęby po higienizacjizęby po higienizacji pro3